Top.Mail.Ru
Центр стоматологической
имплантации
г. Минск, Пр-т Машерова, 17/2
Центр стоматологической
имплантации
Главная
Технология
Этапы лечения
Врачи
Контакты
Перезвоните мне!
инновационная стоматология
Лечение стволовыми клетками
Тотальная имплантация
All-on-4/6 со стволовыми клетками
Снижение рисков и улучшение качества костной ткани после имплантации
В сложных клинических случаях, при атрофии кости и
генерализованном периодонтите. Используем инновационные
методы восстановления с помощью собственных стволовых клеток пациента
Подробнее
Уникальная методология белорусских ученых
Уникальная методология белорусских ученых
Государственное УО «Белорусская медицинская академия последипломного образования»
Белорусский государственный медицинский университет
сложная имплантация
Стволовые клетки восстановят кость после имплантации
Мезенхимальные стволовые клетки превращаются в костную ткань и снижают воспаление, что обеспечивает долгосрочные результаты после имплантации. Это особенно важно при использовании протоколов All-on-4/6
Улучшение остеоинтеграции
Стволовые клетки помогают имплантатам лучше «срастаться» с костью. С возрастом процес остеоинтеграции ухудшается
Ускорение заживления
Стволовые клетки снимают отек, предотвращают воспаление и ускоряют процесс заживления после установки имплантатов
Безопасность
Использование собственных стволовых клеток пациента уменьшает риск иммунных реакций и отторжения имплантата
Наш метод не просто революция в сфере стоматологии, а новый стандарт заботы о здоровье вашей улыбки.

Центр стоматологической имплантации предлагает инновационное лечение, основанное на
использовании мезенхимальных стволовых клеток, которые стимулируют естественные механизмы регенерации тканей. Этот подход открывает перспективы, ранее недоступные в области стоматологии и восстановления здоровья вашей улыбки.
Начните с онлайн-консультации
Начните с онлайн-консультации
Отправьте нам свой 3D-снимок, и получите предварительный план лечения и стоимость всех этапов
Оставьте свои контактные данные и специалист расскажет как отправить снимок.
Оставьте свои контактные данные и специалист расскажет как отправить снимок.
Применение стволовых клеток при лечении пациентов по протоколу All-on-4/6 необходимо в следующих случаях:
01
Выраженная атрофия кости
  • Недостаточный объем костной ткани в области установки имплантатов.
  • Тонкий или низкий альвеолярный гребень.
  • Тяжелая резорбция костной ткани, требующая регенерации.
  • Недостаточный объем костной ткани в области установки имплантатов.
  • Тонкий или низкий альвеолярный гребень.
  • Тяжелая резорбция костной ткани, требующая регенерации.
02
Ускорение остеоинтеграции имплантатов
  • Улучшение приживления имплантатов у пациентов с низкой костной плотностью.
  • Снижение риска отторжения имплантатов за счет стимуляции образования новой кости.
03
Осложненные случаи пародонтита и пародонтоза
  • Глубокие пародонтальные карманы с потерей костной ткани.
  • Восстановление кости перед установкой имплантатов.
04
Коррекция осложнений после неудачных имплантаций
  • Потеря имплантатов из-за недостаточной остеоинтеграции.
  • Восстановление костной ткани перед повторной имплантацией.
05
Возрастные изменения костной ткани
  • У пациентов старше 40-50 лет, когда естественная регенерация замедлена.
  • При остеопорозе или системных заболеваниях, влияющих на плотность кости
06
Ускорение заживления после операций по пересадке костного материала
Сочетание стволовых клеток с костными блоками или остеопластическими материалами для более быстрого приживления.
Крицкий В.И. Зам. директора института биофизики и клеточной инженерии НАН РБ о лечении стволовыми клетками в стоматологии
Крицкий В.И. Зам. директора института биофизики и клеточной инженерии НАН РБ
Как работает клеточная терапия
Как получить стволовые клетки для лечения стволовыми клетками
Крицкий В.И. Зам. директора института биофизики и клеточной инженерии НАН РБ о лечении стволовыми клетками в стоматологии
Альтернативное описание
Задайте любой вопрос о стволовых клетках в вашей клинической ситуации

О НАС ПИШУТ СМИ
Поговорили о том, в каких случаях стволовые клетки могут быть полезны в стоматологии и как именно проходит процесс лечения.
Популярнейший интернет-портал Беларуси onliner.by опубликовал интервью с руководителем нашей клиники 
Популярнейший интернет-портал Беларуси onliner.by опубликовал
интервью с руководителем нашей клиники 
Читать статью
Получите предварительный план лечения и расчет стоимости после online-консультации
Еловой Ярослав Михайлович
Стоматолог-хирург, имплантолог
Пройдите этот тест и мы свяжемся с вами для проведения online-консультации. Вы  получите предварительный план лечения и стоимость и сможете спланировать поездку на лечение в удобное время.
1
2
3
4
5
6
Расскажите о вашей ситуации сейчас
Что вы знаете о стволовых клетках в стоматологии?
Выберите вариант ответа и нажмите кнопку "Далее"
Далее
1
2
3
4
5
6
Столкнулись ли вы с проблемой атрофии костной ткани?
Столкнулись ли вы с проблемой атрофии костной ткани?
Назад
Выберите вариант ответа и нажмите кнопку "Далее"
Далее
1
2
3
4
5
6
Знаете ли вы, что стволовые клетки могут помочь при имплантации зубов?
Знаете ли вы, что стволовые клетки могут помочь при имплантации зубов?
Назад
Выберите вариант ответа и нажмите кнопку "Далее"
Далее
1
2
3
4
5
6
Какое ваше основное опасение перед имплантацией зубов?
Какое ваше основное опасение перед имплантацией зубов
Назад
Выберите вариант ответа и нажмите кнопку "Далее"
Далее
1
2
3
4
5
6
Знаете ли вы, что имплантация All-on-4/6 позволяет восстановить весь зубную ряд за 2-3 процедуры?
Знаете ли вы, что имплантация 4/6 помогает восстановить зубной ряд за 2-3 визита?
Назад
Выберите вариант ответа и нажмите кнопку "Далее"
Далее
1
2
3
4
5
6
Спасибо за прохождение теста. Как вам удобнее получить консультацию менеджера?
Выберете мессенджер, в котором у вас открыт номер телефона
Способ связи:
Назад
Научный подход
Используем современные технологии и берем самые сложные случаи
Наука и огромный опыт помогают нам в работе с безнадежными ситуациями, когда другие клиники отказались

Лечить хронический периодонтит

Когда консервативные методы лечения не помогли, и пациенту требуется оперативное вмешательство для удаления инфицированных тканей

Устанавливать импланты при атрофии кости

При атрофии костной ткани требуется высокая квалификация врача для проведения имплантации. Это связано с тем, что в таких случаях необходимо использовать специальные методики наращивания костной ткани или базальную имплантацию.

Восстанавливать десну при сильной рецессии

Врач должен иметь достаточный опыт и квалификацию для выбора наиболее подходящего метода лечения в зависимости от общего состояния здоровья пациента, степени рецессии десны и других факторов.
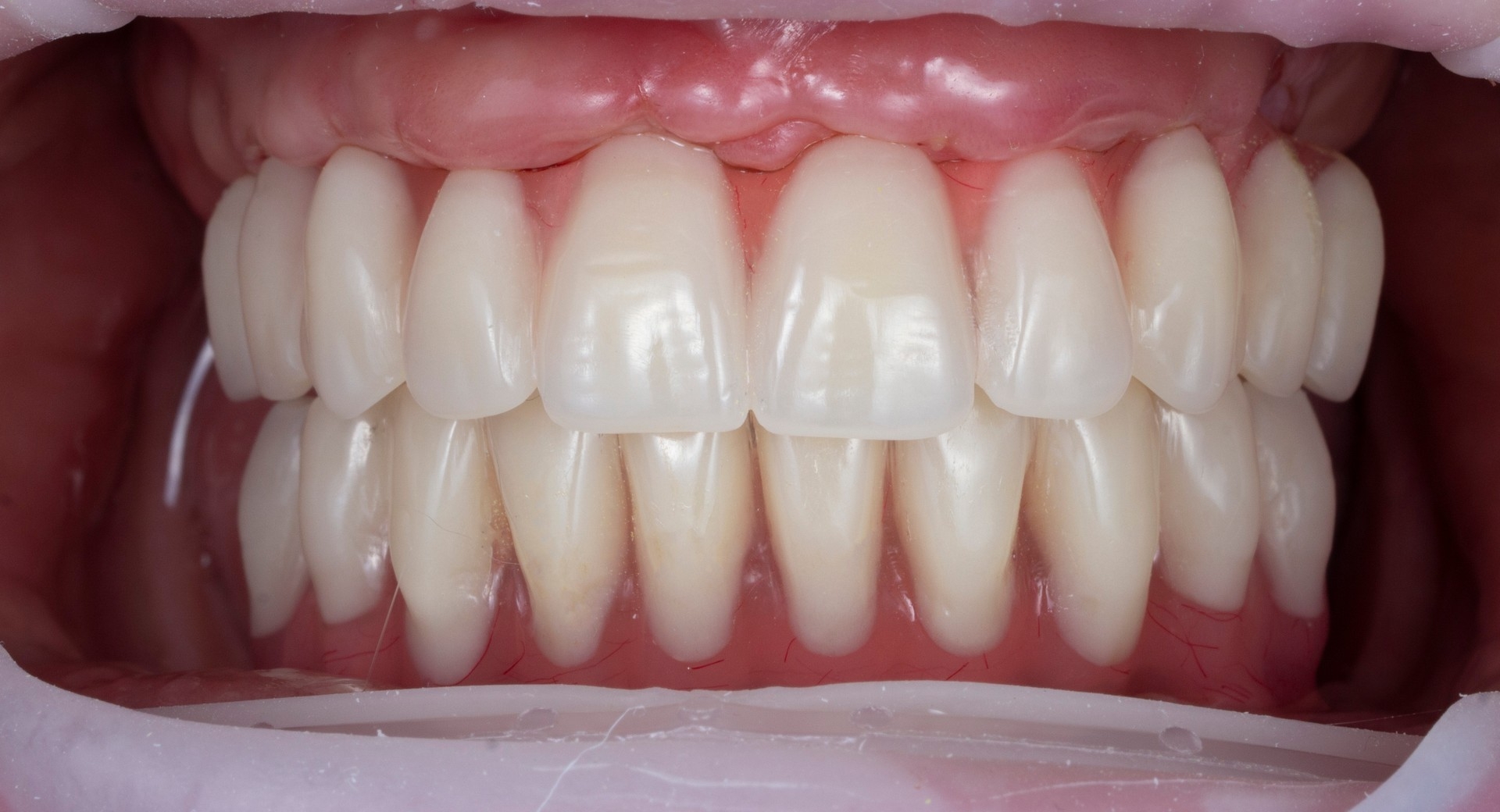
Лечение стволовыми клетками в стоматологии
Лечение стволовыми клетками в стоматологии
Лечение стволовыми клетками в стоматологии
Лечение стволовыми клетками в стоматологии
Лечение стволовыми клетками в стоматологии
Лечение стволовыми клетками в стоматологии
Лечение стволовыми клетками в стоматологии
Лечение стволовыми клетками в стоматологии
Лечение стволовыми клетками в стоматологии
/ 10
Лечение стволовыми клетками в стоматологии Лечение стволовыми клетками в стоматологии Лечение стволовыми клетками в стоматологии Лечение стволовыми клетками в стоматологии Лечение стволовыми клетками в стоматологии Лечение стволовыми клетками в стоматологии Лечение стволовыми клетками в стоматологии Лечение стволовыми клетками в стоматологии Лечение стволовыми клетками в стоматологии
/ 4
Стоимость лечения определяется после
КТ-снимка и полной диагностики состояния костной ткани
Стоимость лечения  определяется после
КТ-снимка и полной диагностики состояния костной ткани
Комплексная имплантация ALL-On-4 на имплантах MegaGen
Устанавливаем 4 импланта и через 7-10 дней крепим временный несъёмный протез из пластмассы или акрила
от 12 485 BYN (одна челюсть)
от 12 485 BYN (одна челюсть)
от  347 000 RUB
Комплексная имплантация ALL-On-6 на имплантах MegaGen
Устанавливаем 6 имплантов и через 7-10 дней крепим временный несъёмный протез из пластмассы или акрила
от 13 497 BYN (одна челюсть)
от 13 810 BYN (одна челюсть)
от  385 000 RUB
Постоянный металлокерамический протез на 4 имплантах
Устанавливается через 6-8 мес. Стоимость зависит от материала: металлокерамика или цирконий
от 5 200 BYN (одна челюсть)
от 5 200 BYN (одна челюсть)
от  145 000 RUB
Стоимость лечения стволовыми клетками рассчитывается после изучения клинической ситуации и зависит от количества стволовых клеток, необходимых для введения

Стоимость лечения стволовыми клетками рассчитывается после изучения клинической ситуации и зависит от количества стволовых
клеток, необходимых для введения
Введение БМКП (биомедицинского клеточного продукта)
на 5 000 000 - 20 000 000 клеток

Введение БМКП (биомедицинского клеточного продукта)
на 5 000 000 - 20 000 000 клеток
от  82 000 - 227 000  RUB
ПОЛУЧИТЬ ПЛАН ЛЕЧЕНИЯ
Организуем комфортное лечение пациентов из-за рубежа

Организуем комфортное лечение пациентов из-за рубежа

ONLINE-КОНСУЛЬТАЦИЯ

На основе 3D-снимка составим подробный предварительный план лечения и оптимально организуем ваши визиты, сэкономив ваше время .

ТРАНСФЕР И СКИДКА НА ПРОЖИВАНИЕ

Поможем с бронированием жилья на период лечения у наших партнеров и организуем трансфер до отеля.

ПЕРСОНАЛЬНЫЙ МЕНЕДЖЕР

Поможет на каждом этапе лечения, будет на связи, чтобы ответить на любые вопросы.

БЕЗВИЗОВЫЙ РЕЖИМ

Для граждан России и большинства стран Европы виза не нужна, но мы поможем с оформлением приглашения, если это потребуется.
Клеточная терапия
Этапы лечения
Весь процесс направлен на достижение эффективной регенерации тканей периодонта и обеспечение долгосрочных результатов
Записаться на приём
Консультация и Оценка:
Оценка состояния зубов, десен и костной ткани. Важно выяснить, подходит ли лечение стволовыми клетками для данного случая
Получение Стволовых Клеток:
Врач берет небольшое количество ваших собственных стволовых клеток из жировой ткани. Процедура длится 2-3 минуты под местной анестезией.
Подготовка Клеток:
Полученные стволовые клетки выращиваются и проходят специальную подготовку, чтобы активировать их способность развиваться в костную ткань
Введение в Проблемную Зону:
Активированные стволовые клетки вводятся в область, где имеется поражение тканей. Запускается процесс регенерации.
Период Регенерации
Стволовые клетки начинают стимулировать регенерацию тканей, помогая формированию новой десны и приживлению имплантата
Мониторинг Заживления
Пациенту назначается несколько контрольных визитов для оценки прогресса и эффективности лечения
Клеточная терапия
Этапы лечения
Весь процесс направлен на достижение эффективной регенерации тканей периодонта и обеспечение долгосрочных результатов
Записаться на приём
Консультация и Оценка:
Оценка состояния зубов, десен и костной ткани. Важно выяснить, подходит ли лечение стволовыми клетками для данного случая
Получение Стволовых Клеток:
Врач берет небольшое количество ваших собственных стволовых клеток из жировой ткани. Процедура длится 2-3 минуты под местной анестезией.
Подготовка Клеток:
Полученные стволовые клетки выращиваются и проходят специальную подготовку, чтобы активировать их способность развиваться в костную ткань
Введение в Проблемную Зону:
Активированные стволовые клетки вводятся в область, где имеется поражение тканей. Запускается процесс регенерации.
Период Регенерации
Стволовые клетки начинают стимулировать регенерацию тканей, помогая формированию новой десны и приживлению имплантата
Мониторинг Заживления
Пациенту назначается несколько контрольных визитов для оценки прогресса и эффективности лечения
Начните с онлайн-консультации
Начните с онлайн-консультации
Отправьте нам свой 3D-снимок, и получите предварительный план лечения и стоимость всех этапов
Оставьте свои контактные данные и специалист расскажет как отправить снимок.
Оставьте свои контактные данные и специалист расскажет как отправить снимок.
Наши врачи
Это выдающиеся специалисты, обладающие глубокими знаниями и опытом в области стволовой терапии
Романович Елена Владимировна
Стоматолог - хирург, Первая категория
Опыт работы - 17.5 лет
Удаление зубов
Имплантация
Синус-лифтинг
All-on-4/6
Углубление преддверия полости рта
Работа с мягкими тканями десны
Лоскутные операции
Закрытие рецессий
Уменьшение глубины пародонтальных карманов
Пластика десны
Устранение рецессии десны
Устранение подвижности зубов
Клеточная терапия
Еловой Ярослав Михайлович
Стоматолог - хирург, Первая категория
Опыт работы - 12 лет
Имплантация зубов
Подготовка зубов к протезированию
Костная пластика и синус лифтинг
Пластика мягких тканей
Удаление зубов у детей и взрослых
English Intermediate level
Записаться на приём
Свидетельства и сертификаты
Деятельность клиники и специализация врачей подтверждены документально
/ 3
Свидетельства и сертификаты
Деятельность клиники и специализация врачей подтверждены документально
Записаться на приём
/ 3
Нужна консультация?
Центр стоматологической имплантации
Минск, пр. Машерова, д. 17/2
© 2024 Все права защищены
Клиника
Контакты
ПН-ВС: 08:00 - 21:00
 У ВАС ЕСТЬ ВОПРОСЫ?
Наш менеджер с радостью ответит на ваши вопросы и организует бесплатную онлайн-консультацию!
Наш сайт использует куки-файлы (cookies), чтобы ваш пользовательский опыт был лучше. Запретить обработку cookies можно в настройках вашего браузера.
Центр стоматологической имплантации
Минск, пр. Машерова, д. 17/2
© 2025 Все права защищены
Клиника
Материнский капитал
Контакты
Пн-Пт: 08:00 - 21:00